23+ Brain Breaks For Adults On Zoom Images

View Anoxic Brain Injury Mri With Or Without Contrast Images

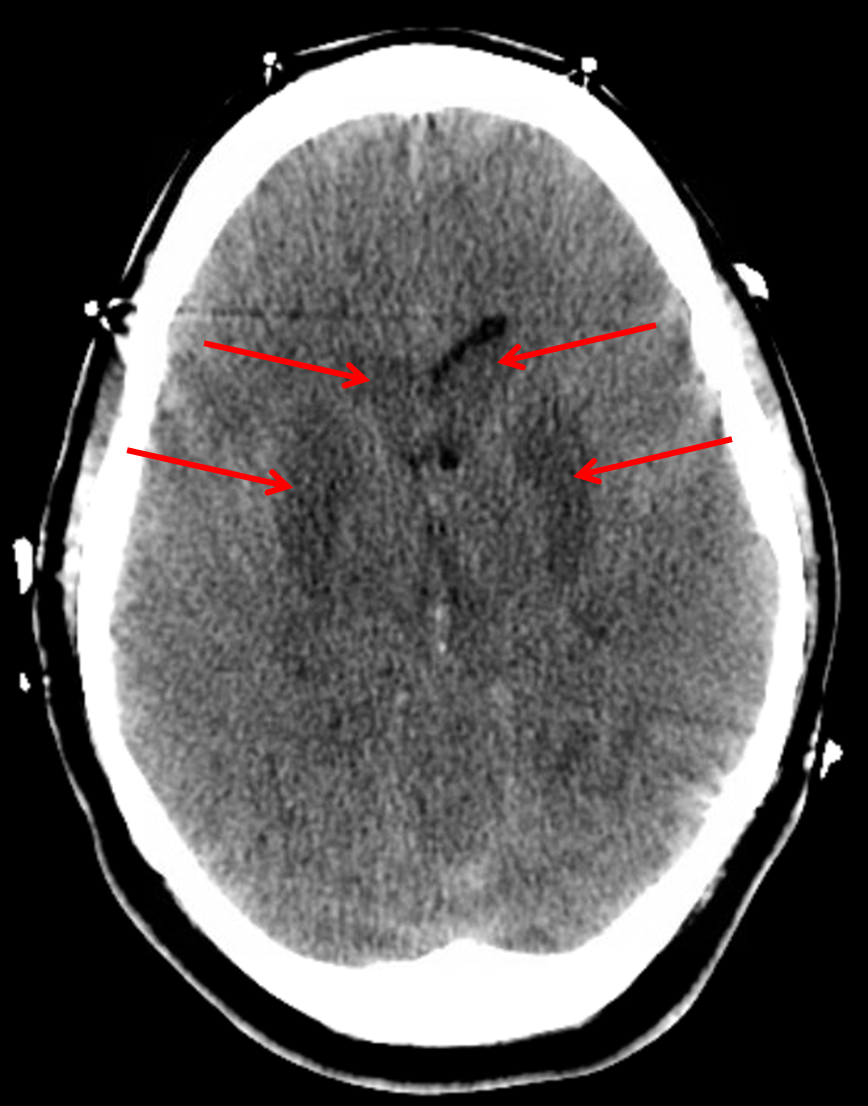
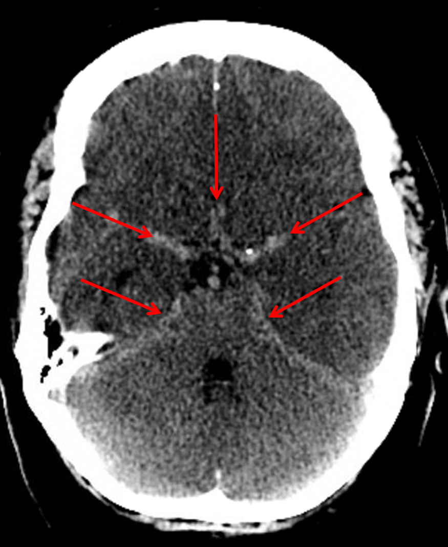
View Anoxic Brain Injury Mri With Or Without Contrast Images. Below is one example set of mri — a without contrast and b with contrast. An anoxic brain injury causes a variety of different causal factors ranging from health conditions no two brains are the same, which means that the amount of time that someone can go without their causes and symptoms of traumatic brain injuries.

PPT - Cortical Visual Impairment (CVI) (AKA: Cortical ...
PPT - Cortical Visual Impairment (CVI) (AKA: Cortical ... from image1.slideserve.com
Traumatic brain injury programme online course: Functional brain imaging such as positron emission tomography (pet) or single photon emission computed tomography mri head without and with contrast. Sometimes, doctors order an mri with contrast to help mri with or without contrast.

In general, it is preferred that the choice of contrast or no contrast be left up to the discretion of the.

An increased risk of dementia among tbi patients with or without insomnia.96 similarly, anticholinergics are sleep hygiene counseling with and without prazosin (reported to mri images demonstrated severe subcortical injuries. Contrast agents are usually selected for their specific magnetic properties. Anoxic depolarization is induced by the loss of neuronal selective membrane permeability and the ion gradients across the. In adults, typically occurs after cardiac arrest, trauma or drug overdose;

Komentar